武汉轻工大学富硒药用资源团队-张绍鹏课题组和武汉市农业科学院食用菌研究团队-马晓龙课题组利用羊肚菌多糖修饰纳米硒,制备具有良好稳定性和生物活性的MSP4-SeNPs复合物。通过构建体外-肝细胞胰岛素抵抗细胞模型和体内-Ⅱ型糖尿病小鼠模型,首次揭示该羊肚菌多糖纳米硒的降糖效果及生物安全性,并深入探讨其对Ⅱ型糖尿病的潜在治疗作用。相关研究发表于国际期刊Industrial Crops & Products(一区TOP,IF:6.2)。

II型糖尿病(T2DM)作为糖尿病的主要表现形式,已成为全球性流行病。目前可用的II型糖尿病药物治疗,例如二甲双胍和磺脲类药物,受到其副作用和最终耐药性的限制。因此,开发副作用最小的新型抗II型糖尿病药物已成为当务之急。
多糖是一类重要的生物活性化合物,具有多种药理作用。近年来,从食用菌中提取的多种多糖显示出潜在的抗糖尿病效果。纳米硒颗粒近年来因其独特的抗氧化性质以及在药学等领域的潜在应用而受到广泛关注。“多糖-纳米硒”则结合了多糖的生物相容性和功能多样性以及纳米硒的抗氧化和治疗特性,使其成为药物递送、疾病治疗及其他生物医学应用中的新方式。
本研究采用抗坏血酸还原亚硒酸钠的方法,以羊肚菌多糖(MSP-4)为稳定剂制备MSP4-SeNPs纳米复合物。通过系统的单因素实验和响应面法优化,确定了最佳制备工艺参数。利用动态光散射(DLS)和傅里叶变换红外光谱(FT-IR)等多种表征手段对纳米颗粒的粒径分布、形貌特征、晶体结构和表面化学性质进行了系统分析,证实了MSP-4成功修饰于纳米硒表面,形成了稳定的纳米复合物体系。

采用胰岛素处理成功构建了胰岛素抵抗HepG2(IR-HepG2)细胞模型。CCK-8实验结果表明,MSP4-SeNPs在0-100 μg/mL浓度范围内对IR-HepG2细胞无明显毒性作用。进一步的细胞实验发现,低浓度MSP4-SeNPs能显著提升IR-HepG2细胞的己糖激酶(HK)和丙酮酸激酶(PK)活性,增加糖原含量,有效改善糖代谢紊乱。同时,MSP4-SeNPs处理可显著增强超氧化物歧化酶(SOD)和谷胱甘肽过氧化物酶(GSH-Px)活性,降低丙二醛(MDA)和甘油三酯(TG)含量,表明其具有良好的抗氧化应激作用。

通过小鼠急性毒性实验评估,观察到给药组小鼠活动自如,未出现异常行为。被毛保持光泽顺滑;全程未观察到震颤、抽搐等中毒体征。在本研究设定的给药条件下,MSP4-SeNPs未引起实验动物急性毒性反应,受试小鼠维持良好的生理状态,未出现任何可见的中毒临床症状。MSP4-SeNPs处理后的小鼠体重、摄食量与血清生化学指标均无显著改变。经解剖观察,小鼠主要脏器及心、肝、肾组织病理学检查结果均未见明显异常。 MSP4-SeNPs在0~4 mg/kg 剂量范围内对小鼠无明显毒性,并且无小鼠死亡。且小鼠肝脏和肾脏内糖原、HK和PK含量也无较大变化。实验结果表明,低剂量羊肚菌多糖纳米硒(MSP4-SeNPs)具有良好的生物安全性。
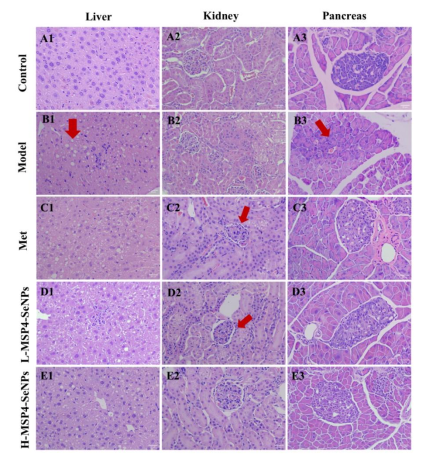
进一步采用高糖高脂饮食联合链脲佐菌素注射成功构建了Ⅱ型糖尿病小鼠模型。通过设置低剂量和高剂量MSP4-SeNPs干预组,系统评价了其体内降血糖活性。经过28天的干预治疗后,MSP4-SeNPs能显著降低糖尿病小鼠的空腹血糖水平,改善葡萄糖耐量,增加肝糖原储备。同时,MSP4-SeNPs干预显著改善了胰岛素抵抗状态,并有效缓解了疾病相关的体重下降。在作用机制研究方面,MSP4-SeNPs可显著调节血清生化指标,包括降低血糖、改善血脂和调节肝功能相关酶活性。组织病理学分析显示,高剂量MSP4-SeNPs能显著改善糖尿病引起的肝脏、肾脏和胰腺的组织损伤。研究结果表明,MSP4-SeNPs通过调控糖代谢关键酶活性和减轻氧化应激,在Ⅱ型糖尿病治疗中展现出良好的应用前景。

本研究成功制备了稳定、具有生物活性的MSP4-SeNPs纳米复合物,系统评价了其在细胞和动物模型中的降血糖效果,并初步阐明其通过调控糖代谢关键酶与减轻氧化应激发挥作用的机制。结果表明,该复合物在Ⅱ型糖尿病治疗中具有良好应用前景。上述发现不仅为MSP4-SeNPs的临床应用提供了实验依据,也凸显了食用菌多糖作为天然生物活性分子在纳米药物研发中的独特价值,为食用菌资源的高值化利用与代谢性疾病治疗提供了新思路。
原文链接
https://doi.org/10.1016/j.indcrop.2025.122620
作者介绍
第一作者:闵金瑛,女,武汉轻工大学2022级研究生。
通讯作者1:张绍鹏,博士,副教授,硕导,国家富硒农产品加工技术研发专业中心-富硒药用资源团队负责人,应用生物科学专业负责人。
通讯作者2:马晓龙,博士,高级农艺师,国家食用菌产业技术体系武汉综合试验站站长,武汉市农业科学院食用菌研究室主任。
该研究得到国家现代农业产业技术体系(CARS-20)和湖北省现代农业产业技术体系食用菌产业技术体系项目(项目编号:2025HBSTX4-09)













